女性歯科
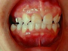
術前

術後

子育てや介護で自分の歯を治療する時間が持てなかったケースです。即日仮歯で前歯を作りました。
術前

術後

常にマスクをして生活をされていました。こちらも即日仮歯で前歯を作り、マスクをせずお帰りになりました。
審美歯科
術前

術後

1日でできあがるダイレクトレジンです。表面にプラスチックを貼ります。欠点としては長持ちしづらいので特別なイベントやお急ぎの時に行います。
術前

術後

クイック矯正といわれる治療です。セラミックスラミネートベニアを使用しています。通常の矯正をと違い2日で審美的な歯並びを得ることができます。
術前

術後

仕事の事情で長年治療に通うことができなかった男性です。矯正治療を取り入れて、4か月で治療が完結しています。抜いた歯はありません。
審美入れ歯
装着前



装着後



着け心地も見た目も入れ歯とは気づかれることはまずありません。自分の歯のようにご使用いただいています。









